蜡状芽孢杆菌的鉴定与检测方法及注意事项!
蜡状芽孢杆菌的鉴定与检测方法及注意事项!

蜡状芽孢杆菌(芽孢杆菌属蜡状芽孢杆菌)一般指蜡样芽孢杆菌,又...

ATCC 27210 白色瘤胃球菌 百欧博伟生物
ATCC 27210 白色瘤胃球菌 百欧博伟生物

瘤胃球菌属(Ruminococcus)是消化球菌科(Pept...

疏棉状嗜热霉——用于生产淀粉酶和白酒酿造
疏棉状嗜热霉——用于生产淀粉酶和白酒酿造

疏棉状嗜热霉是Thermomyces属的微生物,原产地为中国...

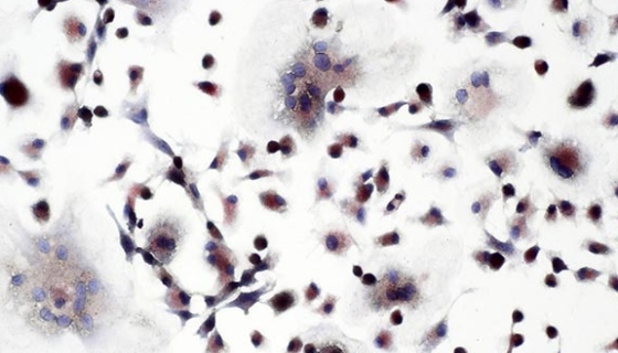
小鼠破骨细胞的培养方式与质量检测及注意事项!
小鼠破骨细胞的培养方式与质量检测及注意事项!

小鼠破骨细胞MOC-1取自雌性小鼠,该细胞经过sv40永生化...

ATCC 29256 干燥奈瑟氏菌 百欧博伟生物
ATCC 29256 干燥奈瑟氏菌 百欧博伟生物

干燥奈瑟菌(Neisseria sicca)是一种生长缓慢的...

皮状丝孢酵母:利用亚硫酸废液培养饲料酵母
皮状丝孢酵母:利用亚硫酸废液培养饲料酵母

皮状丝孢酵母,不发酵糖类;可同化葡萄糖、半乳糖、木糖、甘油、...

小鼠肠上皮细胞的性质与用途及生产工艺!
小鼠肠上皮细胞的性质与用途及生产工艺!

小肠上皮细胞(intestineepitheliumcell...

巴西曲霉的形态特征与培养方法及实验内容!
巴西曲霉的形态特征与培养方法及实验内容!

巴西曲霉是Aspergillus属的微生物,原产地为美国。主...

密丛毛霉的培养方法与注意事项及打管说明!
密丛毛霉的培养方法与注意事项及打管说明!

密丛毛霉是Mucor属的微生物,原产地为荷兰。接合菌,产生球...