稻瘟病菌的病原特征与生理特性及防治方法!
稻瘟病菌的病原特征与生理特性及防治方法!

稻瘟病菌是Magnaporthe属的微生物,原产地为日本。病...

食用菌贝形侧耳的特点与优势及保存方法!
食用菌贝形侧耳的特点与优势及保存方法!

贝形侧耳,子实体小至中等。菌盖贝形、半圆形或近扇形,光滑,水...

罗伊氏乳杆菌GMNL-263的菌株类型与功效机制!
罗伊氏乳杆菌GMNL-263的菌株类型与功效机制!

罗伊氏乳杆菌GMNL-263(Lactobacillus r...

小鼠CD8+T细胞的常见问题及收货注意事项有哪些?
小鼠CD8+T细胞的常见问题及收货注意事项有哪些?

小鼠CD8+T细胞取自C57小鼠外周血,悬浮培养。仅用于科学...

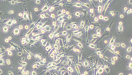
CFPAC-1人胰腺癌细胞的结构与特点及其功能!
CFPAC-1人胰腺癌细胞的结构与特点及其功能!

CFPAC-1细胞是胰腺管腺癌细胞系,建自26岁白人男性囊性...

脑膜炎球菌的培养条件与菌株分型及致病物质!
脑膜炎球菌的培养条件与菌株分型及致病物质!

脑膜炎球菌(meningococcus)的学名是脑膜炎奈瑟氏...

人弥漫大B淋巴瘤细胞验收时的注意事项有哪些?
人弥漫大B淋巴瘤细胞验收时的注意事项有哪些?

弥漫大B细胞淋巴瘤是NHL中最常见的类型,几乎占所有病例的1...

艰难梭状芽胞杆菌感染的诊断与治疗及预防!
艰难梭状芽胞杆菌感染的诊断与治疗及预防!

艰难梭状芽胞杆菌是能形成芽孢的革兰阳性细菌,通常经过粪口途径...

小鼠骨髓巨噬细胞的运输和保存及其应用!
小鼠骨髓巨噬细胞的运输和保存及其应用!

小鼠骨髓巨噬细胞是取自小鼠骨髓的巨噬细胞,主要用巨噬细胞的体...