ATCC 43279 发酵纤维单胞菌 百欧博伟生物
ATCC 43279 发酵纤维单胞菌 百欧博伟生物

发酵纤维单胞菌,革兰氏阳性,不运动,兼性厌氧。主要用于教学,...

胶孢炭疽菌:用于该类群菌的系统学研究
胶孢炭疽菌:用于该类群菌的系统学研究

胶孢炭疽菌为炭疽菌属的一种。菌落圆形,边缘整齐,气生菌丝白色...

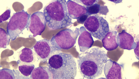
SKO-007人骨髓瘤细胞的培养操作规程!
SKO-007人骨髓瘤细胞的培养操作规程!

人骨髓瘤细胞收到后的处理方法与培养步骤。

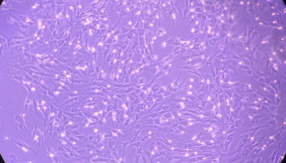
大鼠成骨细胞的知识概述与培养方法及应用!
大鼠成骨细胞的知识概述与培养方法及应用!

成骨细胞系生长期骨的一种细胞。此种细胞多聚集在新形成的骨质表...

发酵乳杆菌的培养方法及冻干管打管说明!
发酵乳杆菌的培养方法及冻干管打管说明!

发酵乳杆菌,菌体短杆状,单个或成对排列,革兰氏阳性。主要用于...

人绒毛膜肿瘤细胞的培养步骤与处理方法!
人绒毛膜肿瘤细胞的培养步骤与处理方法!

Bewo细胞取自人绒癌脑转移组织,在仓鼠颊囊移植传代8年。利...

鸡腿菇的形态特征与生长环境及栽培工艺!
鸡腿菇的形态特征与生长环境及栽培工艺!

鸡腿菇,学名是毛头鬼伞,因其形如鸡腿,肉质似鸡丝而得名,并无...

甲基营养型芽胞杆菌——分解琼脂等多糖类物质
甲基营养型芽胞杆菌——分解琼脂等多糖类物质

甲基营养型芽胞杆菌是Bacillus属的微生物,原产地为中国...

人骨髓血间充质干细胞的处理方法与培养步骤!
人骨髓血间充质干细胞的处理方法与培养步骤!

骨髓间充质干细胞是干细胞家族的重要成员,来源于发育早期的中胚...