人辅助性T细胞Th17验收时的注意事项及操作说明!
人辅助性T细胞Th17验收时的注意事项及操作说明!

人辅助性T细胞Th17细胞取自女性外周血,悬浮培养,形态偏圆...

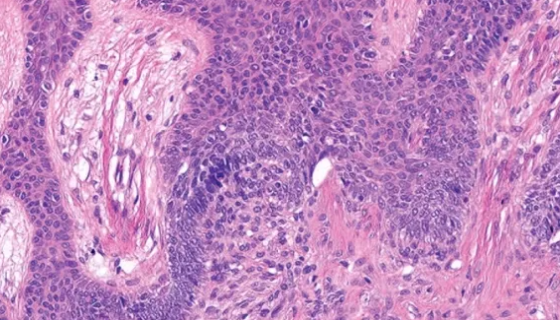
人喉表皮癌细胞复苏与冻存的处理方法有哪些?
人喉表皮癌细胞复苏与冻存的处理方法有哪些?

人喉表皮癌细胞的运输和保存及复苏与冻存的处理方法有哪些?

黑根霉——用于该菌种群演化与流行学监测
黑根霉——用于该菌种群演化与流行学监测

黑根霉(Rhizopus nigricans)是真菌的一种,...

扩展青霉的培养条件与注意事项及打管说明!
扩展青霉的培养条件与注意事项及打管说明!

扩展青霉的菌落小斑点状,草绿色;背面肉桂色,中央有红色的小点...

维氏气单胞菌的特点与优势及培养方法!
维氏气单胞菌的特点与优势及培养方法!

维氏气单胞菌是Aeromonas属的微生物,原产地为中国。革...

志贺氏菌属的致病物质与诊断方法及预防措施!
志贺氏菌属的致病物质与诊断方法及预防措施!

志贺氏菌属(Shigella Castellani)是一类革...

pBAV1k-T5-LUX荧光标记
pBAV1k-T5-LUX荧光标记

RKO人结肠腺癌细胞的培养步骤与应用!
RKO人结肠腺癌细胞的培养步骤与应用!

RKO人结肠腺癌细胞是一个低分化的结肠癌细胞系。RKO细胞含...