假黄单胞菌属的培养条件与注意事项及打管说明!
假黄单胞菌属的培养条件与注意事项及打管说明!

假黄色单胞菌属是Pseudoxanthomonas属的微生物...

嗜热喜粪链霉菌的形态特征与主要价值及培养方法!
嗜热喜粪链霉菌的形态特征与主要价值及培养方法!

嗜热喜粪链霉菌是Streptomyces属的微生物,原产地为...

hUC-MSC人脐带间充质干细胞的操作流程与注意事项!
hUC-MSC人脐带间充质干细胞的操作流程与注意事项!

脐带间充质干细胞是一种能分化成骨细胞、脂肪细胞和软骨细胞的多...

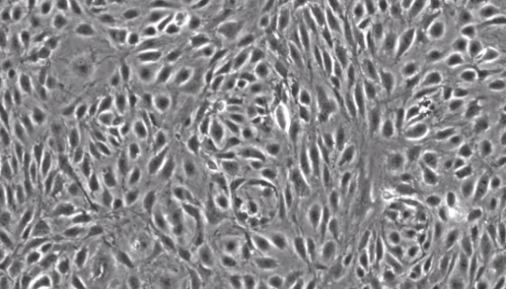
EC-304人血管内皮细胞的处理与培养及主要用途!
EC-304人血管内皮细胞的处理与培养及主要用途!

人血管内皮细胞呈多角形、梭形或线形。呈团状或束状排列,可见单...

CAL-27人舌鳞癌细胞的处理方法与培养操作规程!
CAL-27人舌鳞癌细胞的处理方法与培养操作规程!

人舌鳞癌细胞,系于1982年建立,从一位56岁白种男性的病变...

头葡萄球菌的菌株培养与使用范围及保藏方法!
头葡萄球菌的菌株培养与使用范围及保藏方法!

头葡萄球菌属于葡萄球菌的一种,有许多种抗生素都是可以针对葡萄...

ATCC 33624 牙龈二氧化碳噬纤维菌 BIOBW生物
ATCC 33624 牙龈二氧化碳噬纤维菌 BIOBW生物

牙龈二氧化碳嗜纤维菌(Capnocytophaga ging...

宛氏拟青霉的培养方法与使用范围及注意事项!
宛氏拟青霉的培养方法与使用范围及注意事项!

宛氏拟青霉是Paecilomyces属的微生物,原产地为中国...

异常汉逊酵母——用于浓香型白酒酿制研究
异常汉逊酵母——用于浓香型白酒酿制研究

异常汉逊酵母(拉丁名:Hansenula anomala)为...