单核增生李斯特菌的致病性与传播途径及预防与治疗!
单核增生李斯特菌的致病性与传播途径及预防与治疗!

单核增生李斯特菌一般指单核细胞增生李斯特氏菌,主要通过粪一口...

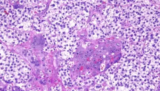
人胎盘绒毛癌细胞的培养步骤与应用!
人胎盘绒毛癌细胞的培养步骤与应用!

人胎盘绒毛癌细胞是来源于男性胎儿胎盘滋养层肿瘤的绒毛绒膜癌,...

枯草芽孢杆菌产生的抗菌活性物质及合成途径!
枯草芽孢杆菌产生的抗菌活性物质及合成途径!

枯草芽孢杆菌是芽孢杆菌属的代表种,细胞直杆状,很少成链,染色...

睾丸酮丛毛单胞菌的分离方法及相关研究!
睾丸酮丛毛单胞菌的分离方法及相关研究!

睾丸酮丛毛单胞菌 ( C.testosteroni)是丛毛单...

RBL-2H3(大鼠嗜碱性细胞白血病细胞)的应用!
RBL-2H3(大鼠嗜碱性细胞白血病细胞)的应用!

RBL-2H3细胞是1978年国立牙科研究所的免疫学实验室从...

NIH3T3小鼠胚胎成纤维细胞的培养步骤与应用!
NIH3T3小鼠胚胎成纤维细胞的培养步骤与应用!

NIH3T3小鼠胚胎成纤维细胞是1962年Todaro G和...

不动杆菌属的流行病学与临床表现及实验室检验!
不动杆菌属的流行病学与临床表现及实验室检验!

不动杆菌属为一群不发酵糖类、氧化酶阴性、硝酸盐还原阴性、不能...

猪支原体肺炎的发病症状及防治措施!
猪支原体肺炎的发病症状及防治措施!

猪支原体肺炎是一种在生猪养殖中危害较大的传染病,该病的致病源...

人骨肉瘤细胞的背景与培养步骤及应用!
人骨肉瘤细胞的背景与培养步骤及应用!

人骨肉瘤细胞是从一名13岁的白人女性的骨肉瘤组织中分离建立的...