粉红单端孢霉的菌株特点及培养与保存方法!
粉红单端孢霉的菌株特点及培养与保存方法!

粉红单端孢霉是Trichothecium属的微生物,原产地为...

ATCC BAA-1706 肺炎克雷伯菌肺炎亚种知识解析!
ATCC BAA-1706 肺炎克雷伯菌肺炎亚种知识解析!

肺炎克雷伯菌肺炎亚种是Klebsiella属的微生物,原产地...

萎缩芽孢杆菌的形态特征与培养方法及操作流程!
萎缩芽孢杆菌的形态特征与培养方法及操作流程!

萎缩芽孢杆菌是Bacillus属的微生物,原产地为中国。好氧...

ATCC 30486 棘阿米巴原虫 百欧博伟生物
ATCC 30486 棘阿米巴原虫 百欧博伟生物

棘阿米巴原虫(Acanthamoeba))是一类自由生活的小...

鲁氏酵母的主要用途及单层冻干管打管说明!
鲁氏酵母的主要用途及单层冻干管打管说明!

鲁氏酵母是一种淀粉酶,活力较强,耐高渗透压,用于制酱油和甜酱...

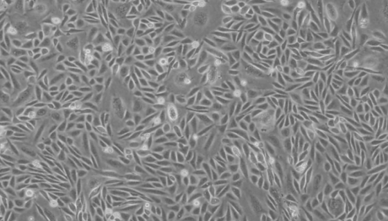
CHO(仓鼠卵巢细胞)的复苏操作要点及注意事项!
CHO(仓鼠卵巢细胞)的复苏操作要点及注意事项!

仓鼠卵巢细胞是上皮细胞,贴壁生长,仅用于科学研究或者工业应用...

肠沙门氏菌肠亚种鼠伤寒血清型ATCC 13311的注意事项!
肠沙门氏菌肠亚种鼠伤寒血清型ATCC 13311的注意事项!

肠沙门氏菌肠亚种鼠伤寒血清型是Salmonella属的微生物...

ATCC 27048 深红红螺菌单层冻干管打管说明!
ATCC 27048 深红红螺菌单层冻干管打管说明!

深红红螺菌,是红螺菌属内的一个模式种。有鞭毛运动、以二等分裂...

ATCC 49134 表皮葡萄球菌的菌株形态与注意事项!
ATCC 49134 表皮葡萄球菌的菌株形态与注意事项!

表皮葡萄球菌(Staphylococcus epidermi...