齐藤假丝酵母——生产柠檬酸及合成维生素B2
齐藤假丝酵母——生产柠檬酸及合成维生素B2

齐藤假丝酵母是Candida属的微生物,原产地为中国。菌落形...

茄病镰刀菌的特点优势与主要价值及培养方法!
茄病镰刀菌的特点优势与主要价值及培养方法!

茄病镰刀菌是Haematonectria属的微生物,原产地为...

枯草芽孢杆菌的作用机制与培养方法及应用领域!
枯草芽孢杆菌的作用机制与培养方法及应用领域!

枯草芽孢杆菌(Bacillussubtilis),为革兰氏阳...

小鼠海马神经元细胞的运输和保存及使用方法!
小鼠海马神经元细胞的运输和保存及使用方法!

海马体主要负责记忆和学习,日常生活中的短期记忆都储存在海马体...

伴放线放线杆菌的性质与用途及生产工艺!
伴放线放线杆菌的性质与用途及生产工艺!

伴放线放线杆菌 (Actinobacillus actino...

簇孢匍柄霉的菌株培养与实验内容及保存方法!
簇孢匍柄霉的菌株培养与实验内容及保存方法!

簇孢匍柄霉,壳霉目杯霉科真菌,菌落呈棉絮状,浅黄褐色至暗褐色...

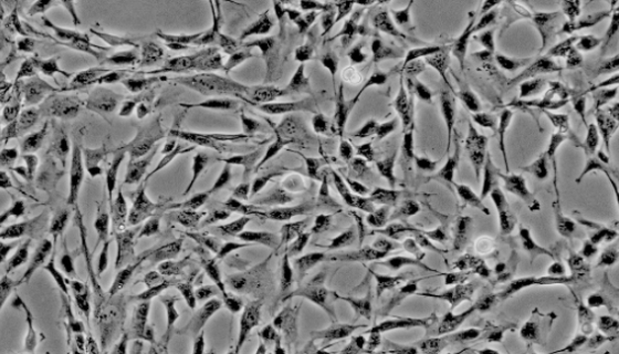
人脂肪间充质干细胞的培养操作步骤及应用!
人脂肪间充质干细胞的培养操作步骤及应用!

人脂肪间充质干细胞是来源于脂肪组织的干细胞,与其它成体干细胞...

吕宋马杜拉放线菌:代谢产物具有弱的抗菌活性
吕宋马杜拉放线菌:代谢产物具有弱的抗菌活性

吕宋马杜拉放线菌,放线菌,孢子链柔曲或钩、环状,2—30个孢...

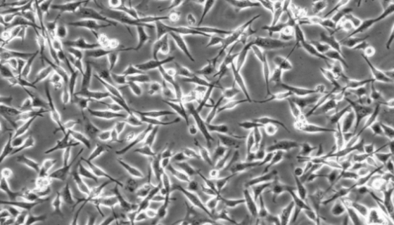
大鼠表皮黑色素细胞的分离方法与质量检测!
大鼠表皮黑色素细胞的分离方法与质量检测!

大鼠表皮黑色素细胞分离自皮肤组织;表皮位于动物皮肤的外层,由...